Ülkeye midelerinde uyuşturucu getiren şahıslar yakalandı

Ülkeye midelerinde uyuşturucu getiren şahıslar yakalandı

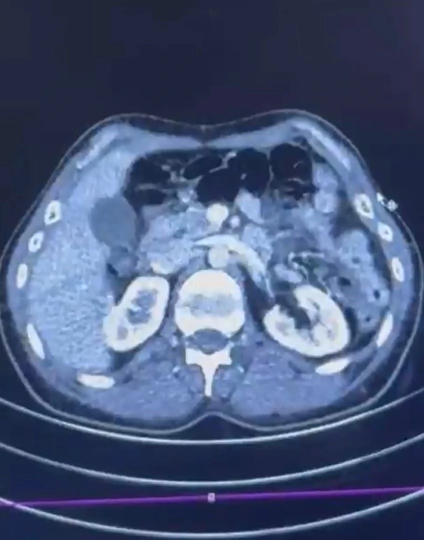
şüphelilerin midesinde kapsül şeklinde yarım kilo uyuşturucu madde ele geçirildi.

Kayseri İl Emniyet Müdürlüğü ekiplerince yapılan çalışmalarda İran’dan Türkiye’ye gelen şüphelilerin midesinde kapsül şeklinde yarım kilo uyuşturucu madde ele geçirildi.


Edinilen bilgiye göre Narkotik Suçlarla Mücadele Şube Müdürlüğü ekiplerince uluslararası uyuşturucu madde ticareti yapan kurye şahıslara yönelik gerçekleştirilen çalışmalarda, İran’dan Türkiye’ye uyuşturucu madde getirdiği tespit edilen şüpheli şahısların yakalanması amacıyla operasyon düzenlendi. Düzenlenen operasyonda; S.C., R.B.C. ve G.M. yakalandı. S.C. ve R.B.C.’nin Kayseri Şehir Hastanesi’nde yapılan iç beden muayenelerinde, mide kısımlarında bulunduğu tespit edilen 50 adet kapsül şeklinde toplam 554 gram uyuşturucu madde ele geçirildi. Şüpheliler gözaltına alınarak haklarında ’Uyuşturucu Madde Ticareti Yapmak’ işlem başlatıldı.


Kayseri İl Emniyet Müdürlüğü’nden yapılan açıklamada; "Uyuşturucu ve uyarıcı madde satıcılarına karşı yürüttüğümüz mücadele aralıksız ve kararlı bir şekilde devam edecektir" denildi.

SİZİN DÜŞÜNCELERİNİZ
BUNLAR DA İLGİNİZİ ÇEKEBİLİR
Üzgünüz ilginizi çekebilecek içerik bulunamadı...
ÇOK OKUNAN HABERLER
gaziantep haberleri için doğru bilgiyi sunan haber sitesi kenthaber ile gaziantep haber alanında en doğru bilgiye ulaşın. gaziantep son dakika için bizi keşfedin. google